See the Nurture Difference
Transforming Smiles, Boosting Confidence







At Nurture Kids Dentistry, we believe that every child deserves a smile they are proud to show off. Dr. Ketan Jumani combines clinical precision with an artistic eye to ensure that every restoration—from a simple filling to a full crown—looks natural, functions perfectly, and lasts.
Browse our gallery below to see real examples of the care we provide to children in Sammamish, Issaquah, and Redmond.
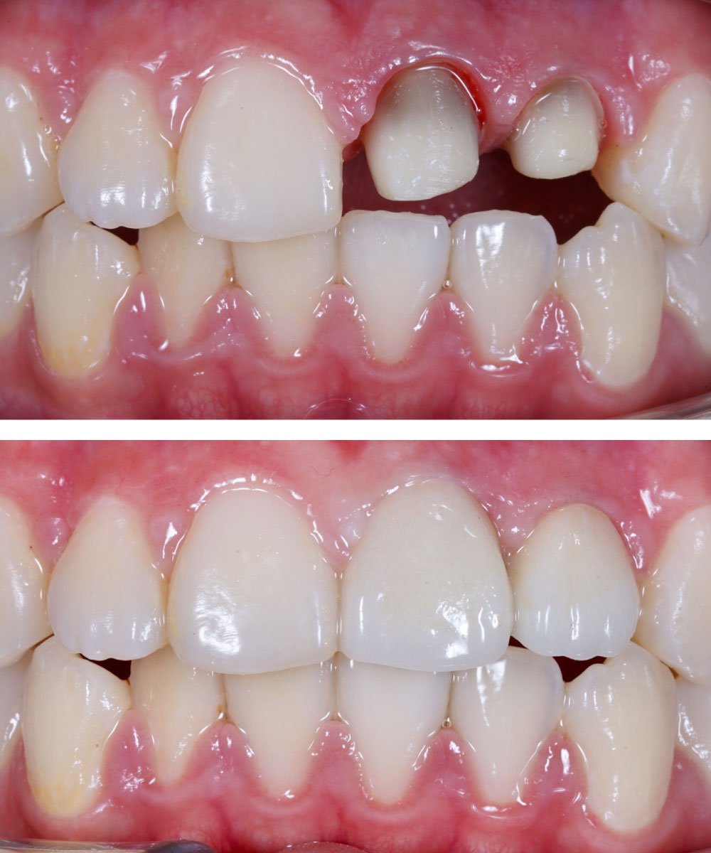
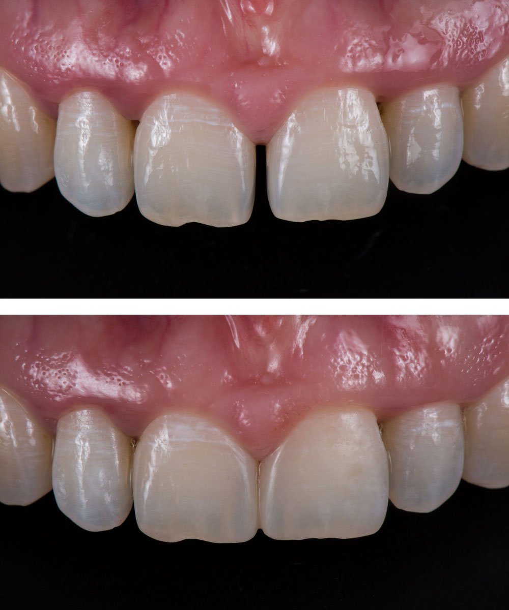
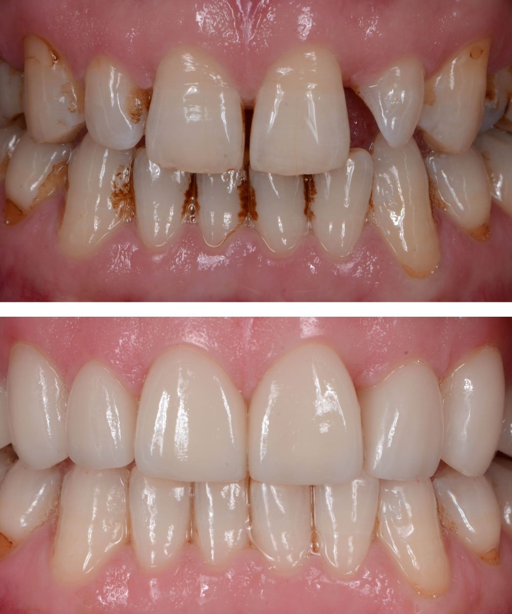
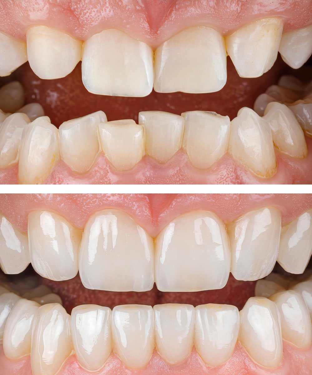
Zirconia Crowns (White Crowns)
Gone are the days when a crown meant a silver metal cap. We specialize in Zirconia Crowns, which are made from a biocompatible, high-strength ceramic. They blend seamlessly with your child’s natural teeth, making them the perfect choice for restoring front teeth or visible molars damaged by decay or trauma.
Interceptive Orthodontics (Phase I)
Many orthodontic issues can be corrected early, preventing the need for extensive braces or surgery later in life. Dr. Jumani uses appliances to correct crossbites, expand narrow arches, and make room for permanent teeth to erupt properly.
Space Maintenance
When a baby tooth is lost too early, we place a custom Space Maintainer. This simple device prevents the back teeth from drifting forward, ensuring the permanent tooth underneath has enough room to come in straight.
Minimally Invasive Care
For early-stage cavities or white spot lesions, we often use minimally invasive techniques like Silver Diamine Fluoride (SDF) to stop decay or Icon Resin Infiltration to blend white spots away.

Conscientious
Compassionate
Caring
We know that choosing a pediatric dentist is a big decision. At Nurture Kids Dentistry, we combine Board-Certified expertise with a "safety-first" approach to technology and a gentle, fun atmosphere. Whether your child is excited for their visit or feeling a little nervous, we tailor every appointment to their unique personality and needs.

